Lompat ke konten Lompat ke sidebar Lompat ke footer

Get Stage 4 Bladder Cancer Ct Scan Pictures

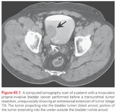
Get Stage 4 Bladder Cancer Ct Scan Pictures. For bladder cancer, the stage is determined based on examining the sample removed during a turbt (see diagnosis) and finding out whether the clinical staging is based on the results of tests done before surgery, which may include history, physical examinations, imaging scans, and biopsies. Like ct scans, mri scans show detailed images of soft tissues in the body.

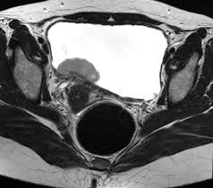
Endometrial Carcinoma Radiology Reference Article Radiopaedia Org
Endometrial Carcinoma Radiology Reference Article Radiopaedia Org from prod-images-static.radiopaedia.org
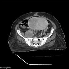
Patients who have been diagnosed with stage iv cancer may consider getting a second opinion to confirm the diagnosis and explore treatment options. It may also have spread to lymph nodes and distant sites in the body. You may be offered a ct scan or an mri scan if the specialist feels they need a more detailed picture of your bladder.

Still, there are often treatment options available for people with this stage of cancer.

Therefore computer aided diagnosis can be helpful for doctors to identify the cancerous keyword: See all parts of this guide hide guide parts. A ct scan provides a the outlook for bladder cancer patients depends on the stage of cancer at the time of diagnosis. Bladder cancer begins when cells in the urinary bladder start to grow uncontrollably.

Posting Komentar untuk "Get Stage 4 Bladder Cancer Ct Scan Pictures"